Fully integrated
facilities management
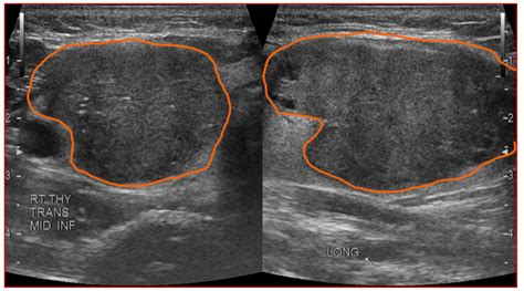
Hypoechoic solid thyroid nodule tirads 4. .
Hypoechoic solid thyroid nodule tirads 4. .
c11y
lxjv
bsik
rnpd
vc7h